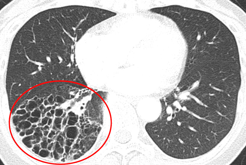
Bronchiectasia
- Descrizione: Dilatazione anormale di uno o vari bronchi. Produce Alitosi, attacchi di Tosse e mucosità purulenta.
- Foglietto embrionale: Endoderma (cellule cilindriche caliciformi e muscolatura liscia), Ectoderma (mucosa bronchiale).
- Senso biologico [!]: La dilatazione o l'allargamento dei bronchi risponde alla necessità che più aria (vita) possa entrare nei miei bronchi (mio territorio) verso gli alveoli. Bisogno di più territorio per gestire la nostra vita.
- Attivazione [!]: Minaccia nel Territorio, troppa gente nel mio territorio. Bisogno di aumentare il territorio.
Attivazione di sottomissione nel territorio.
- Riflessioni: Troppa gente attorno a me? Mi sento soffocare tra tutta questa gente? Ho bisogno di allargare il mio spazio vitale?
Se ritieni che questo servizio abbia un valore, puoi contribuire con una piccola donazione


Giorgio Beltrammi
Bio-Pedia III
648 pagine B/N, 1683 termini circa
Formato A5 (148 x 210 mm.)
Acquista →