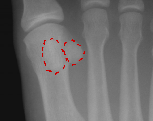
Ossa sesamoidi
- Descrizione: Ossa piccole e rotonde che sono incluse in un Tendine e che aiutano nella funzione della Articolazione. Le più conosciute sono quelle dell'alluce.
- Foglietto embrionale: Mesoderma recente.
- Senso biologico [!]: Ossa la cui funzione è agire come perno per potenziare la forza che realizza l'articolazione alla quale appartengono. Nell'alluce aiutano a mantenere l'equilibrio del corpo.
- Attivazione [!]: Attivazione di obbligo verso la Madre. Non riuscire a conquistare l'emancipazione.
Attivazione di non avere sufficiente forza per lottare. "Mi sarebbe piaciuto fare qualcosa... dirgli qualcosa... sentire il suo amore". "Non ho avuto la forza di dirglielo".
Se ritieni che questo servizio abbia un valore, puoi contribuire con una piccola donazione


Giorgio Beltrammi
Bio-Pedia III
648 pagine B/N, 1683 termini circa
Formato A5 (148 x 210 mm.)
Acquista →