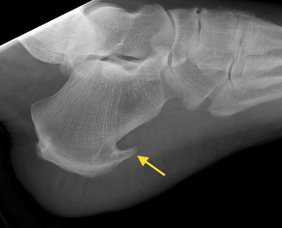
Speroni calcaneari
- Descrizione: Crescita anomala di un'appendice ossea nella faccia inferiore del calcagno (osso del Tallone). Causa molto Dolore.
- Foglietto embrionale: Mesoderma recente.
- Senso biologico [!]: Indurire la fascia piantare, aumentare le capacità protettive della pianta del piede che è percepita aggredita (realmente o simbolicamente). Proteggere e migliorare il proprio appoggio. Simbolicamente, la pianta del piede è la Madre, ma soprattutto la casa materna, la casa famigliare.
- Attivazione [!]: Attivazione riguardante la propria posizione (appoggio) rispetto al mondo e alla vita. Anche in relazione alla madre o alla sua casa.
Persona tradizionalista è legata a valori del passato o ai valori dei genitori.
Attivazione dell'aver camminato su un terreno pieno di spine e insidie. Bisogno di ancorarsi meglio al terreno. Tenere i Piedi per terra.
- Riflessioni: Sono troppo ancorato ai valori di mamma o al passato? Sento mancare la terra sotto i piedi? Sono troppo legato alle tradizioni? La mia strada è troppo accidentata? Non riesco a rimanere con i piedi per terra? Voglio rimanere ancorato alle tradizioni? Voglio rimanere attaccato a mamma?
Se ritieni che questo servizio abbia un valore, puoi contribuire con una piccola donazione
