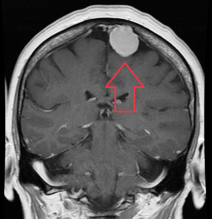
Meningioma
- Descrizione: Tumore nelle meningi.
- Foglietto embrionale: Mesoderma.
- Senso biologico: Per proteggere meglio la testa (l'encefalo) produco più meningi. In particolare compare per proteggere una zona nella quale compare un tumore cerebrale. Vedere senso biologico delle Meningi.
- Attivazione: Conflitto di protezione dell'interno della testa (di grande intensità), in relazione alla zona dove compare.
Protezione di un tumore cerebrale.
Se ritieni che questo servizio abbia un valore, puoi contribuire con una piccola donazione


Giorgio Beltrammi
Il Cancro è solo una risposta
436 pagine B/N
Acquista →