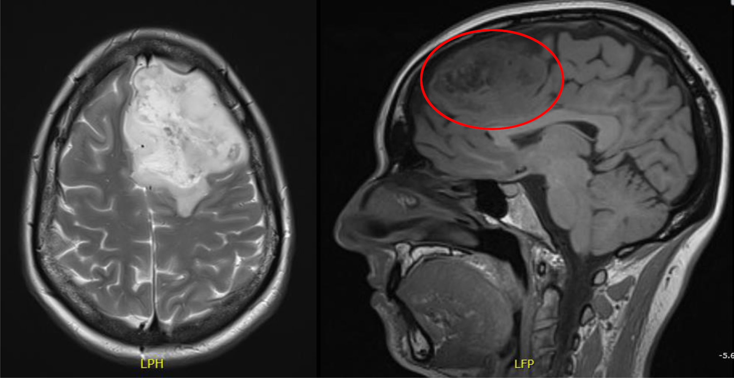
Astrocitoma
- Descrizione: Tumore del Sistema nervoso centrale, degli astrociti. Si localizza maggiormente nel cervelletto e nel cervello. In base al tipo può ricevere il nome di Astrocitoma di primo grado, anaplastico o glioblastoma multiforme.
- Foglietto embrionale: Ectoderma.
- Senso biologico [!]: Gli astrociti si incaricano delle nuove connessioni neuronali e della protezione e alimentazione dei neuroni, per tanto si producono più astrociti quando si devono avere più soluzioni mentali.
- Attivazione [!]: Svalutazione per una grande esigenza intellettuale. Svalutazione per non aver preso una decisione (intellettuale) valida, o paura del doverla prendere. Attivazione per l'essere stato abbandonato.
- Riflessioni: Mi sento stressato mentalmente? Devo trovare continuamente delle nuove soluzioni e delle nuove idee? Mi sento solo a livello intellettuale?
Se ritieni che questo servizio abbia un valore, puoi contribuire con una piccola donazione


Giorgio Beltrammi
Il Cancro è solo una risposta
436 pagine B/N
Acquista