Cisti renali
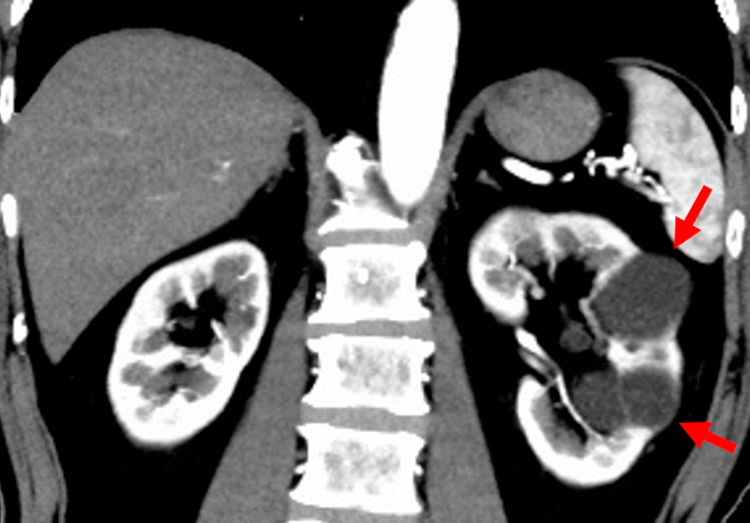
- Descrizione: Le cisti renali sono sacche ripiene di liquido che si formano nel Parenchima renale. Possono essere semplici (con pareti sottili e contenuto omogeneo) o complesse (con setti, calcificazioni o contenuto denso), distinguendosi dalla malattia policistica ereditaria. Le cisti semplici sono lesioni isolate o multiple, tondeggianti, con pareti regolari e liquido chiaro, comuni negli adulti senza ereditarietà.
Quelle complesse presentano ispessimenti o divisioni interne.
- Foglietto embrionale: Mesoderma recente. Fase di riparazione
- Senso biologico [!]: In fase attiva, la necrosi tissutale mira a permettere un miglior drenaggio dell'acqua. La creazione della cisti punta a ricostituire del tessuto funzionale.
- Attivazione [!]: Attivazione di inadeguatezza riguardo al disfarsi di tanto liquido.
Vissuti di annegamento, allagamento, alluvione, annegare nei debiti, aver subito terapie con tante fleboclisi. Memorie biologiche di aver inalato all'atto del parto o di aver ingurgitato il liquido amniotico.
Se ritieni che questo servizio abbia un valore, puoi contribuire con una piccola donazione
