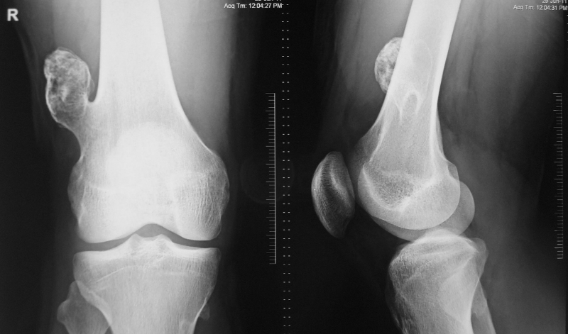
Esostosi
- Descrizione: Ipertrofia della superficie ossea che si produce vicino alle Cartilagini. Noto anche come "soprosso".
- Foglietto embrionale: Mesoderma recente.
- Senso biologico [!]: Fare crescere la struttura (Ossa) per poter essere fuori della norma senza pericolo.
All'indurimento e incremento di quella parte avremo maggiori capacità di difesa.
- Attivazione [!]: attivazione di non poter concretizzare qualcosa "fuori delle norme stabilite".
Se ritieni che questo servizio abbia un valore, puoi contribuire con una piccola donazione
