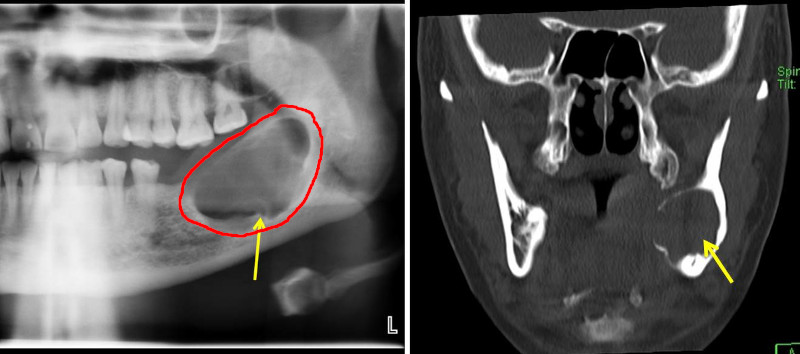
Ameloblastoma
- Descrizione: Tumore che compare nel mascellare (maggiormente nell'inferiore) distruggendo tanto la gengiva come l'osso.
- Foglietto embrionale: Mesoderma recente.
- Senso biologico [!]: Non è possibile continuare a mordere come lo si continua a fare, è necessario un rimodellamento il cui primo passo è quello di smettere di mordere. Il senso finale sarà quello di rigenerare il tessuto osseo che sia molto più forte.
- Attivazione [!]: "Non posso mordere", in un senso di attacco o difesa (non del boccone) a livello della propria struttura (importante e vitale).
"Sono stato fulminato da un attivazione con i superiori (morale, etica, spiritualità, religione...). "Si è abbattuto su me la furia del padre".
- Riflessioni: Chi non posso aggredire a morsi? Ho dovuto sopportare a denti stretti? Non ho il diritto di afferrare ciò che sento mio?
Se ritieni che questo servizio abbia un valore, puoi contribuire con una piccola donazione


Giorgio Beltrammi
Il Cancro è solo una risposta
436 pagine B/N
Acquista →