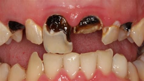
Carie
- Descrizione: La carie dei Denti è il deterioramento dello Smalto dei denti per cause tuttora sconosciute. Il decadimento dello smalto può giungere fino a determinare la formazione di caverne che coinvolgono anche gli altri tessuti che formano il dente.

- Foglietto embrionale: Ectoderma (smalto), Mesoderma recente. In Fase attiva si ha una ulcerazione dolorosa dello smalto e Necrosi della Dentina. In Fase di riparazione si ha una lentissima rigenerazione del tessuto perduto in assenza di sintomi. L'impossibilità ad addentare un boccone, potrebbe avviare l'Attivazione di inadeguatezza (mesoderma recente) che colpisce la dentina.
- Senso biologico [!]: Scompongo lo smalto per ricostruirlo più potente. Lo smalto è lo strato derivato dall'indurimento della mucosa buccale. Fa riferimento al concetto di mordere.
- Attivazione [!]: di non poter mordere. È una protezione vissuta al femminile.
Applicare il sentito del dente colpito. - Riflessioni: Ho desiderato addentare qualcosa, ma non ne avevo possibilità o diritto? Non potevo prendere la mia parte? Non potevo esprimere la mia aggressività?
Forse può interessarti anche...

