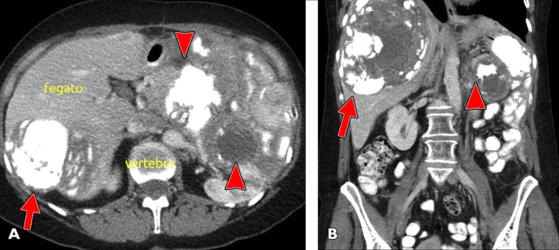
Liposarcoma
- Descrizione: Tumori maligni costituiti dalla proliferazione di tessuto cellulare adiposo.
 
- Foglietto embrionale: Mesoderma. Fase di riparazione. In fase di conflitto attivo si produce necrosi localizzata del tessuto adiposo. In fase di riparazione compare il lipoma per riempire la zona.
 
- Senso biologico: Vedere Lipoma, ma con un grado di "attacco" superiore o più grave.
 
- Attivazione: Stessi conflitti del lipoma ma in senso più forte o più grave. Avere sempre presente la parte colpita.
 
   
   
   
   Se ritieni che questo servizio abbia un valore, puoi contribuire con una piccola donazione
   
 
    
    
Giorgio Beltrammi
    
Il Cancro è solo una risposta
    436 pagine B/N
    
Acquista →