Mesotelioma
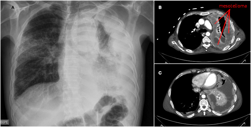
- Descrizione: Secondo la MU il mesotelioma è una neoplasia che origina dal mesotelio, lo strato di cellule che riveste le cavità sierose del corpo: Pleura, Peritoneo, Pericardio, cavità vaginale dei Testicoli. La quasi totalità dei casi attualmente rilevati del tumore si riferisce a mesotelioma pleurico, ed è correlata all'esposizione alle fibre aerodisperse dell'amianto (asbesto), con una latenza temporale particolarmente elevata - 15-45 anni - e un decorso di 1-2 anni.
- Foglietto embrionale: Mesoderma antico. In Fase attiva i tessuti mesodermici reagiscono ipertrofizzandosi. In Fase di riparazione, con l'azione dei Batteri, si viene ad avere uno smantellamento del tessuto supplementare con la produzione di molto liquido che rappresenta comunque una fase di riparazione. Questa produzione di liquido può causare Insufficienza respiratoria, dilatazione addominale, tamponamento cardiaco, Idrocele.
- Senso biologico [!]: L'ispessimento delle membrane cerca di opporre maggiore resistenza agli attacchi provenienti dall'esterno.
- Attivazione [!]: Grave e importante attivazione di attacco, del difendersi. A seconda della struttura membranosa colpita da mesotelioma, il valore percettivo acquista un tono differente.
- Riflessioni: I miei organi interni sono in pericolo? Mi sono sentito violato? Devo difendere il mio interno?
Se ritieni che questo servizio abbia un valore, puoi contribuire con una piccola donazione


Giorgio Beltrammi
Il Cancro è solo una risposta
436 pagine B/N
Acquista →