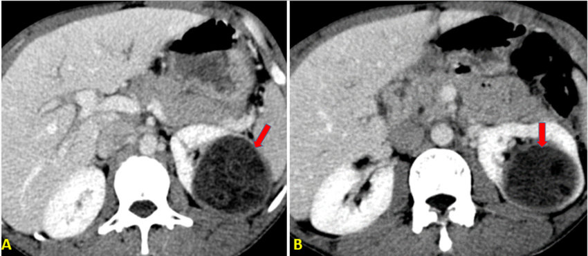
Cisti surrenalica
- Descrizione: Lesione cavitaria, spesso scoperta in modo incidentale, localizzata nella ghiandola surrenale e contenente materiale sieroso, emorragico o talvolta parassitario. Può rimanere asintomatica a lungo e sono spesso riscontri occasionali a ecografie, TC o RM eseguite per altri motivi.
Si distinguono in:
- pseudocisti (le più frequenti), spesso post‑emorragiche o post‑traumatiche; hanno parete fibrosa, spesso con residui emorragici, calcificazioni e assenza di vero rivestimento epiteliale, espressione di un pregresso evento emorragico o necrotico della ghiandola.
- cisti endoteliali (vascolari o linfatiche): mostrano una parete rivestita da endotelio (venoso, linfatico o di malformazioni vascolari) e possono contenere sangue o siero;
- cisti mesoteliali: rivestite da cellule mesoteliali appiattite;
- cisti parassitarie (per esempio da Echinococcus): presentano le tipiche strutture del parassita (es. membrana laminare dell’echinococco) oltre a reazione infiammatoria e fibrosi perilesionale.

- Foglietto embrionale: Endoderma (Dubbio), Mesoderma recente, Ectoderma. Fase attiva con necrosi della corticale, Fase di riparazione della midollare.
- Senso biologico [!]: In base al tipo istologico;
- Attivazione [!]: Attivazione di inadeguatezza relativa all'aver sbagliato strada.
Attivazione di Stress estremo (midollare)
Dubbio: Il Dr. Hamer colloca la midollare del surrene nel grande capitolo dell'Endoderma, ma la derivazione di questa è relativa al neuro-ectoderma.
Forse può interessarti anche...

